Schacht-Albert-Ring 32, 30952 Ronnenberg 0175 - 5718964
Mobile Tierärztliche Praxis für
Pferde und Chiropraktik
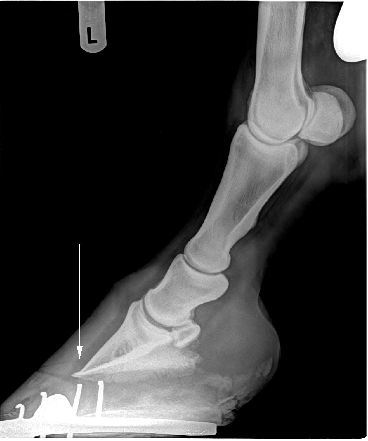
Die Lahmheit eines Pferdes gehört zu den Hauptursachen der Leistungsminderung eines Pferdes. Die Röntgenuntersuchung zählt neben der Ultraschall-, Computertomographie oder Szintigraphieuntersuchung als ein entscheidendes Instrument zur Diagnose, Behandlung und Prognose von Lahmheiten beim Pferd. Aber auch im Rahen einer Ankaufsuntersuchung kann die Röntgenuntersuchung eingesetzt werden, um eventuelle Mängel oder Krankheiten zu erkennen. Die Röntgenuntersuchung ist eine einfache und schnell durchführbare Untersuchung in Ihrem Stall. Bei gestressten Pferden und/oder zur Optimierung der Aufnahmequalität können die Pferde eine kurze Sedierung bekommen. Durch die digitale Röntgentechnik, im Vergleich zur „alten“ konventionellen Röntgentechnik, können die Bilder unmittelbar vor Ort entwickelt und am Laptop ausgewertet werden bzw. kann das Röntgenbild nachbearbeitet werden (Bildoptimierung). In vielen Fällen erfolgt dann eine Zusammenarbeit mit Ihrem Schmied, um die Lahmheit zu verringern oder zu beheben.
Chronische Hufrehe
Sehnenverkalkung
Griffelbeinfraktur
Krongelenkarthrose (sog. Schale)